"Preserving your teeth for a lifetime"
Crowns and Onlays are bespoke caps placed on top of teeth. The teeth are prepared on the first appointment and the cap fitted onto the tooth on the second appointment, usually 2 weeks apart.
They are usually made of either ceramic or gold and are hand-crafted inside a dental laboratory by a skilled ceramist. The crown is then placed on the tooth being treated using a high strength dental cement.

Crowns and Onlays fit over teeth to immediately repair or reinforce them after a break or if a tooth appears more vulnerable to a fracture. This may also be recommended if you are considering improving the appearance of your smile.
In today’s society, the average life span is increasing and we are living for longer than ever. The average person keeps their adult teeth now for seven decades, and humans can apply up to four hundred kilograms of force when clenching and grinding their teeth together.
It is not a surprise with the rising levels of stress and anxiety we are seeing an increase in the number of patients breaking and wearing down their teeth. Often these breaks can be unpredictable and unfortunately teeth cannot always be repaired afterwards.
At Didcot Dental Studio we understand that patients want to prevent health issues from occurring, rather than waiting for the unpredictability of dental disease to happen and then seek treatment. That is why we will also spend time discussing this option when teeth look weaker and more vulnerable to breaking.












The procedure usually takes 2 appointments to complete, there sometimes can be a need for a third appointment.
1. The tooth will be anaesthetised during each appointment, so that the procedure is completely pain free
2. The tooth will then be shaped to accept the onlay or crown. During this stage any existing fillings, underlying decay or cracks are removed, and a new white filling placed in the centre of the tooth.
3. Temporary Crown After intraoral digital scans of your upper and lower teeth are taken, we will place a temporary crown on the tooth for 2-3 weeks whilst the final prosthesis is hand-crafted.
4. On the second appointment, the onlay or crown is cemented using a high strength dental cement. You can now go about your life as normal and enjoy having a new strong, beautiful looking tooth.
At Didcot Dental Studio one of our key values is that dental treatment should be painless. Therefore, we will provide local anaesthetic which has been warmed to body temperature so that you do not feel any discomfort during the appointment.
The few days following the appointment there may be a low level of discomfort, for which we would recommend taking over the counter pain killers if even necessary.
This is one of the longest lasting treatment modalities we have available for repairing teeth and anticipate it should last between 10-15 years.
There are many different factors to consider such as the pre-existing damage within the tooth or how well it is maintained by the patient which can have an impact on longevity.
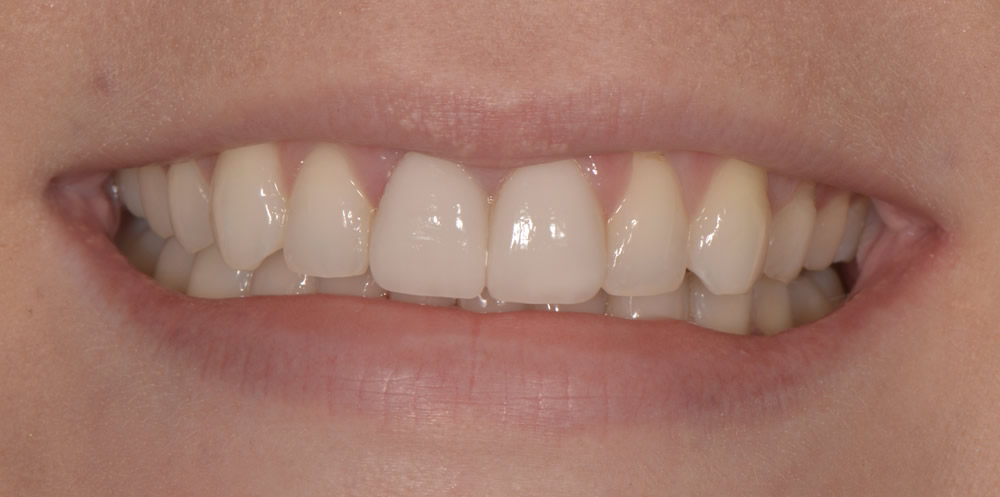
Ceramic crowns are made of porcelain and can be closely matched to the colour of your natural teeth.
On some occasions we will recommend gold crowns for their strength. This may be visible, but will usually only be used on the back teeth.
In essence, both of these treatments can reinforce and repair a tooth, but an onlay is a more conservative option allowing much more of your natural tooth structure to be retained.
A crown will fit over the entirety of the biting surface of the tooth and all the way down to the gum line. Crowns are sometimes used on front teeth for improving a patients smile
An onlay will fit over the entirety of the biting surface of the tooth, and conserve the tooth structure above the gum. Onlays are not used on front teeth for improving a patient’s smile
