Smile Gallery

"Your teeth, our passion, creating the perfect smile"

Smile Makeovers

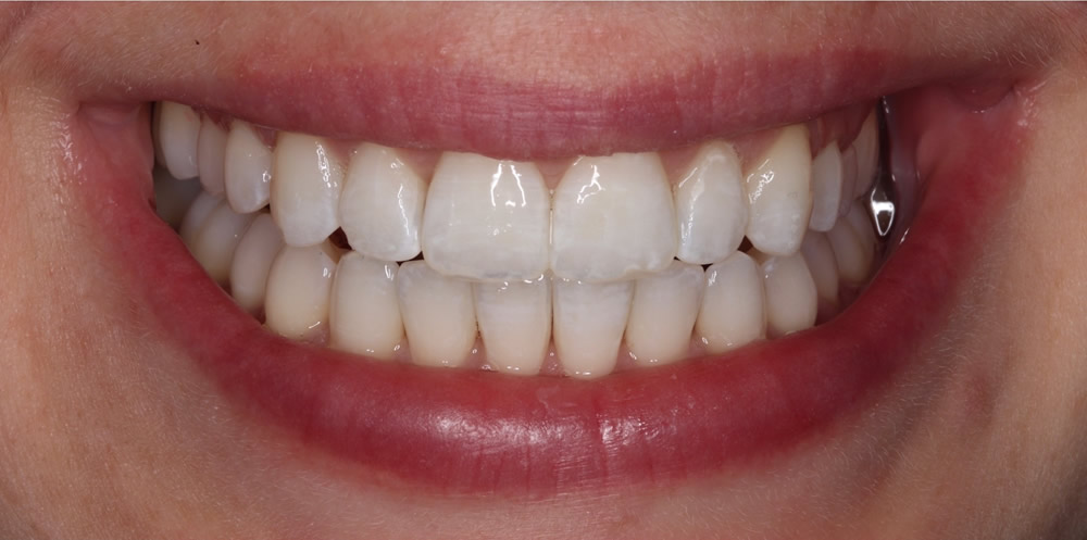
Richard - Full Mouth Rehabilitation with Porcelain Crowns, Veneers and Implants

Before Treatment
After Treatment
Before Treatment
After Treatment

Victoria - Invisalign, Teeth whitening, Composite Bonding

Before Treatment
After Treatment
Before Treatment
After Treatment
Before Treatment
After Treatment

Katherine - Gum Lift, Porcelain Crowns and veneers

Before Treatment
After Treatment
Before Treatment
After Treatment

Tania - Porcelain Crowns, Teeth whitening, Composite Bonding

Before Treatment
After Treatment

Ben - Invisalign, Teeth Whitening

Before Treatment
After Treatment
Before Treatment
After Treatment
Before Treatment
After Treatment

Contact us to find out how we can help you

High quality treatments, in the comfort of a relaxed and safe environment
Book An Appointment Online
Exceptional Care for all generations
Copyright © 2023
Site last updated May 2026

Design by Dental Media

Call Us phone-handsetcalendar-fullchevron-downchevron-right-circle linkedin facebook pinterest youtube rss twitter instagram facebook-blank rss-blank linkedin-blank pinterest youtube twitter instagram